Sending Email..
 keniadental@gmail.com
 +91 91378 03844 / 9137808175

Space Maintainer

  • Home
  • Space Maintainer

Space Maintainer

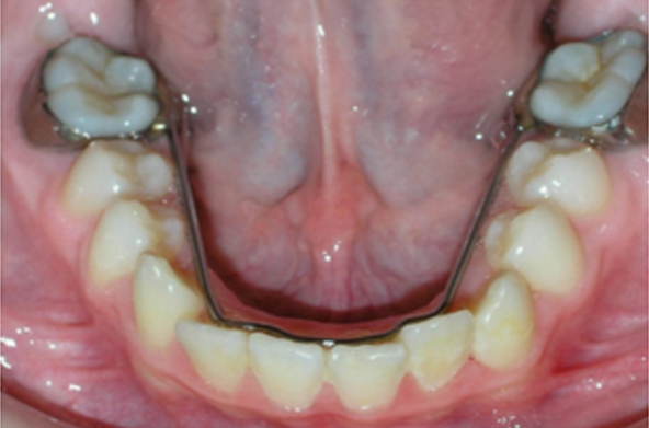
Your baby’s milk teeth are important place-holders for your permanent teeth. As their permanent teeth come in, they will take up the space left by the baby teeth. Often baby teeth are lost early as a result of tooth decay or accidents. This early loss creates a space.


This space needs to be preserved in order for the permanent tooth to  come in straight. The dentist can save the space by putting in a space maintainer (spacer). When the permanent tooth is  ready to come in, the space maintainer is removed.


It can be either removable or in a child’s mouth. Space maintainers are an important treatment option for children because they can help reduce or even eliminate the need for future orthodontic work such as braces later on in your child’s life.

Space Maintainer