Sending Email..
 keniadental@gmail.com
 +91 91378 03844 / 9137808175

Dental Implants

  • Home
  • Dental Implants

Dental Implants

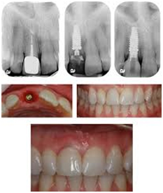
what are dental implants ?

Dental implants are easily the most popular and also the ideal solution, for replacing your missing tooth/teeth.


A dental implant is basically a titanium post which is surgically inserted into the jawbone beneath the gum line to work as a tooth root. Post insertion, a prosthesis (crown) is placed which serves as the tooth.


Tooth Implants not only look and feel like your natural teeth but also function like.


Difference between Dental Implants & Bridges

Bridges Implants
May compromise the adjacent natural tooth Does not compromise with an adjacent tooth
A bridge may need replacement at times where bone loss continues at the site of the missing tooth An implant causes no bone loss as it gets attached with the bone and promotes healthy bone
With bridges, your teeth may be prone to plaque, decay or gum disease, with a risk of possible future root canal With no free spaces in between, implants won’t attract bacteria ever for plaque accumulation

What is the Cost of Dental Implant ?

Dental Implants are a little more expensive than the other options for a replacement for missing teeth. However, considering the lifelong comfort due to the dental implant, it is always a good replacement. Kenia dental clinic has always tried to make dental treatment affordable. At our clinic dental implants cost around Rs. 30,000/-


Risk factors / problems

The following are some of the common risk conditions for dental implants

Diabetes or High or Low Sugar levels

The patient will have to control sugar levels before and after the dental implant surgery to ensure successful surgical placement of the implant and also good healing of dental implant site.

Allergies

The patient must disclose all allergies if any so that precautions can be taken to avoid complications.

Smoking

Smoking has to stop during the process to have a good result. A non-smoker will have a far higher success rate for dental implants as compared to a smoker.

Bone Density, Bone Thickness, and other anatomical conditions

The dentist or the Implantologist will check for the required bone density and bone thickness required for successful results of the dental implant surgery and also perfect retention, bone formation, and osseointegration.

Dental Hygiene

A good dental hygiene in terms of cleaning, brushing, flossing and food habits will help to get better results for any dental implant or oral surgery.


POST IMPLANTS CARE

Good oral hygiene is important not just for your teeth and gums but also for overall wellbeing. Follow these tips to improve your oral health

  • Brush twice a day to maintain good oral hygiene
  • Choose your toothbrush carefully and go for one with a small head and soft bristles
  • Change your toothbrush after every two to three months to not let frayed or worn-out bristles harm your teeth and gums
  • Go gently & thoroughly and don’t use too much force while brushing as it might cause abrasion
  • Floss at least once a day to keep plaque, bacteria, and foods struck between the teeth out as it helps keep implants in good condition
  • Take proper oral care at home to make your dental implants last a lifetime
  • Use mouth rinses once a day after meals to stay on top of your oral health
  • Don’t eat sticky foods as implants can attract more bacteria that your natural teeth for being artificial in nature
  • Eating and drinking right can help your implants stay out of the harm’s way and such good oral care can make then last forever
  • Visit the dental clinic regularly and try to achieve good oral hygiene to make your implants last for life

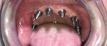
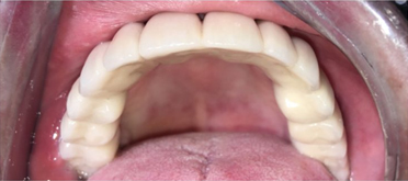
Can One Get Full Mouth Dental Implants ?

Dental Implants are the most viable option present today. If all of your teeth are missing, then we can place Dental Implant supported full mouth Denture.

Are Dental Implants Painful ?

One can experience some pain while getting Dental Implants placed. Local anesthesia is given to numb the area during the procedure, as a result, you might feel no pain in the entire process.

Dental Implants