Sending Email..
 keniadental@gmail.com
 +91 91378 03844 / 9137808175

Composite Laminates

  • Home
  • Composite Laminates

Composite Laminates

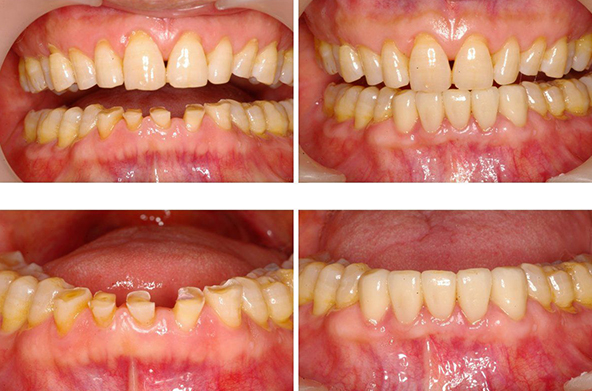
A laminate is a wafer-thin shell of tooth coloured composite (about 1mm thick) that is bonded onto the front side of a tooth to improve the colour, shape, position or size.


Composite Laminates are aesthetic and cosmetic restorations of front teeth with composite material. Due to rapid developments in today’s technology, it is possible to produce composites having 90% of teeth enamel characteristics. These composites are attached to the surface of the teeth with special glue for a permanent aesthetic solution on chipped or discolored front teeth veneers.

Who can get laminate treatment

Almost everyone! People over 18 years old and having complaints mentioned above can get laminate veneer treatment. However, prior approval of those who suffer from extensive grinding or clenching and those who crack things with their teeth (having the habit of harming their own teeth) would be necessary. There is no 18 year age limit in the treatment of broken tooth occurred due to falling, down, hits and injuries among school children. It can be applied to children under 18. Your dentist will be person who would make the right call.

How does Composite Laminate Attached to Tooth?

Enamel layer of teeth resembles just like honeycomb.


We emptied the context of this honeycomb to the micro level by using a special solution and allow composite material glue to infuse inside the comb.


This will allow us to attach the composite to teeth with thousands of connections.

What are the stages of clinical application of laminate treatment?

First of all, surface of the teeth is cleaned with a pad which does not contain flour in order to get rid of all kinds of residues, in another words polyture is applied. Adhesive application. Special dental glue is prepared in order to glue the composite material on the teeth without harming the enamel layer.


Composite is in liquid form, it is place on tooth, after completing the required shaping; it is hardened with a special light. Hardened composites took their final shape by using special rubber. After this process, appointment of the patient is set for the next week and he is recommended not to use front teeth to bite for 24 hours.

I have Composite Laminates? What Must I Do?

After the application, people usually gets a feeling which they define as, “I feel strange.” Few hours after the application, patients might see that they finally have the look they want. However, lip and tongue muscles adaptation may last at least for 48 hours. There is a difference between the exterior atmosphere pressure and interior atmosphere pressure. Despite the fact that composite laminate creates only millimetric difference, lips and tongue feels strange for a while at the beginning. After 48 hours, these organs are adapted to these change and so does the patient. And they feel as if they are “using their own teeth.”

Does Composite Laminates Have Long Life? Are They Resistant?

It is possible to use laminates for years without a hitch if you take good care of your dental hygiene. You should certainly see your dentist in every 6 months to extend the life your laminates. Moreover, avoid biting hard shelled food products, nuts and cracking hard objects with teeth.

Does Composite Laminate Harm Teeth?

Attachment to teeth mentality of the composite laminate is the same with the orthodontic applications. In case its removal from teeth, proper enamel surface will remain the same. And when it is considered that it provides relieving the sensitivity of teeth that occurs due to gingival recession, it can be said that composite laminates are good for teeth. As it can be applied without cutting teeth, it provides an advantage.

Application areas of Composite Laminates?

Composite laminate applications are carried out in order to solve the discoloration and chipped teeth up to certain extend. Main application areas can be summarized as follows:

  • Especially filling the gap (close diestema) on the front teeth.
  • To give a younger look to the deformed, cracked or worn in time due to aging.
  • Stubborn stains which did not get whiter despite whitening procedure
  • Presence of big fillings or decayed tooth on the front teeth
  • When the patient does not prefer orthodontic treatment although he has a slightly crooked tooth
  • Those who wish to have a different look and who are not satisfied with the look of their teeth
  • Those who want to have a positive smile than a negative smile
  • Adults over 18 years old who has suitable mouth and lip structure and wants to have a better smile without having too much intervention to teeth.

Why would I need a composite laminate?

This might be necessary where a tooth is discoloured, chipped, worn, malformed or where there are gaps between your teeth or where they do not look straight. Laminates can produce dramatic improvements in appearance while no tooth material is removed and you usually won't even need anaesthetic.

How long does a composite laminate last?

A laminate should last for many years.

How does the dentist prepare a tooth for a composite laminate?

The tooth is polished using a brush or air abrasion. The desired shade of tooth is decided. Then tooth conditioner is applied to the enamel surface, following which the composite is built up in layers and set using a light curing wand. The tooth is then polished with different grades of abrasive disc and varnished to give the tooth a natural appearance.

Are there any alternatives to composite laminates?

Yes. Your dentist might be able to use a porcelain veneer or crown. Whether these are suitable depends on the condition of the tooth. If veneers are being considered to correct uneven teeth or teeth that do not look straight, orthodontic treatment may be an alternative.


be scheduled for a follow-up visit. At that point, your dentist will examine the gums to determine if everything is healing properly, and if it is, they will let you know when you can return to all your normal dietary habits. Additionally, you may be prescribed an antibiotic rinse to use in order to combat a potential infection, and when you do brush your teeth, you will need to do so very gently.

Is gum shaping different from gum contouring?

These terms are used interchangeably by dentists who perform them. Some may use contouring to describe the procedure with the use of a scalpel and reshaping when lasers are used. At the end of the day, the approach and objective are very similar. It is the tools that are different. The key is that if you want your gums to look different, it doesn't really matter which term is used, both contouring and reshaping can be an excellent solution.

Is this purely a cosmetic procedure, or is there a medical reasons for contouring and shaping?

That depends on why you want to schedule a gum reshaping. If you are calling our office because you suffer from gum disease, we will first examine you to determine if you have the condition, discuss your treatment options, and work to eliminate the actual disease. At that point, you may very well need a gum contouring procedure in order to restore gums that have receded and are now putting the health of your teeth, roots, and jawbone at risk. In a very real sense, gum contouring and grafting can help save your teeth.


While typically gum recession is caused by gum disease, you could also experience this due to excessive tooth brushing, taking a prescription drug, or even genetics. In this case, as with gum disease, restoring your gum tissue may become necessary for your optimum oral health.

Definition of Gum Disease Terminology

Chronic Periodontitis

Chronic periodontitis is the most common form of periodontitis, involving inflammation of the tissue surrounding the teeth and pockets forming as well.


Necrotizing Periodontal Disease

Necrotizing periodontal disease is an infection that causes lesions to form on the face and other symptoms due to the necrosis of gingival tissues, periodontal ligaments and alveolar bone.


Periodical Cyst

A periapical cyst is a pathological cavity, roots of the teeth, that typically has epithelium in the lining and contains fluid or soft matter.


Periodontal Disease

Periodontal disease is a serious inflammation of the gingival tissues and the periodontal membrane of the teeth that causes pain and helps form deeper gingival sulcus.


Periodontal Ligament

Periodontal ligaments are a group of tissue fibers that help attach the tooth to the alveolar bone, which can sustain damage from gum disease or improper oral hygiene.


Periodontal Pocket

A periodontal pocket is a potential area of space, known as a gingival sulcus, which is deeper than normal and can contain bacteria that cause an infection.


Periodontal Surgery

Periodontal surgery is the treatment of extreme levels of periodontal disease that can involve multiple techniques to remove the inflamed tissue and infection before it spreads.


Scaling and Root Planning

Scaling and root planning is a non-surgical therapy that involves the removal of dental plaque in hard to reach places with patients who do not take proper care of their teeth.

Awesome Image