Sending Email..
 keniadental@gmail.com
 +91 91378 03844 / 9137808175

Full Mouth Rehabilitation

  • Home
  • Full Mouth Rehabilitation

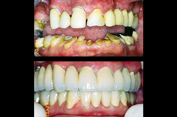
Full Mouth Rehabilitation

Who Requires a Full Mouth Reconstruction?

There are a number of people who have dental problems throughout their mouths that must be treated comprehensively with a vision of a final result that improves both function and esthetics. These patients may exhibit multiple missing teeth, numerous teeth with large fillings that are failing or exhibiting decay, cracked or broken teeth, or badly worn teeth due to bruxism (teeth grinding) or other habits.


There is also a group of patients who were born with conditions such as Ectodermal Dysplasia, Ameliogenesis, or DentinogenisisImperfecta that will need extensive restoration of their teeth. These patients may be candidates for a full mouth reconstruction.

Treatment Options for a Full Reconstruction

The treatments can include onlays, crowns, bridges, veneers, dental implants, and/or dentures that will essentially provide not only a "smile makeover", but improved chewing efficiency for the patient. In some patients, other specialties will orthodontics may also be employed to facilitate the best possible outcome.

Awesome Image